Best Dental Clinic in Chennai Expert Care for Healthy and Beautiful Smiles
When it comes to oral health, choosing the best dental clinic in Chennai is crucial for ensuring a healthy, confident smile. Among the leading dental care centers in the city, GMR Dental Care stands out as a premier destination for exceptional dental services. Conveniently located in the heart of Egmore, GMR Dental Care has built a reputation for professional expertise, patient centered care, and advanced dental technology.
Why GMR Dental Care is the Best Dental Clinic in Chennai?
At GMR Dental Care, we are more than just a dental hospital in Egmore; we are your partners in achieving long lasting oral health. Here’s why patients consistently choose us:
1. Experienced and Skilled Dental Professionals
Our team consists of highly qualified and experienced dentists who specialize in various fields, including orthodontics, cosmetic dentistry, endodontics, periodontics, and pediatric dentistry. Every dentist at GMR Dental Care is committed to providing personalized treatment plans tailored to your specific needs, ensuring the best outcomes for your oral health.
2. Comprehensive Dental Services
GMR Dental Care offers a wide range of dental treatments under one roof. Whether you are looking for routine dental check ups or advanced cosmetic procedures, we provide services that cover all aspects of dental care:
- General Dentistry: Regular check-ups, teeth cleaning, cavity treatment, and preventive care.
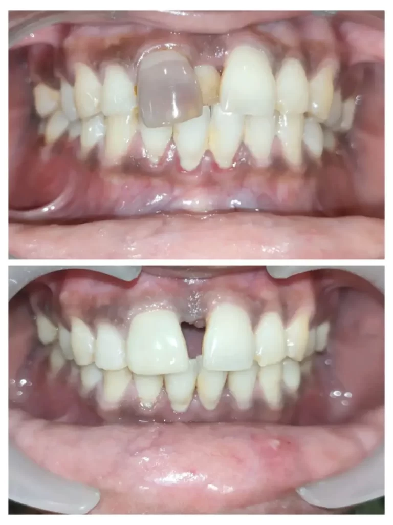
- Cosmetic Dentistry: Teeth whitening, smile design, veneers, and smile makeovers.
- Orthodontics: Braces, clear aligners, and Invisalign treatments for all age groups.
- Dental Implants: Permanent solutions for missing teeth with precision placement and restoration.
- Emergency Dentistry: Immediate care for dental emergencies like toothache, broken teeth, or trauma.
- Pediatric Dentistry: Gentle care for children, ensuring positive experiences and healthy habits.
3. Dental Technology
We believe in combining expertise with modern technology to deliver precise and comfortable dental treatments. Our clinic is equipped with advanced diagnostic tools, digital X-rays, intraoral cameras, and laser dental equipment. These technologies enable us to perform procedures with higher accuracy, reduced discomfort, and faster recovery times.
4. Patient-Centered Approach
At GMR Dental Care, patient comfort is a top priority. From the moment you step into our clinic, our friendly staff ensures a welcoming and stress-free environment. We take the time to understand your concerns, explain treatment options in detail, and address all questions. This personalized approach makes us a trusted choice for patients seeking the best dentist in Chennai or the best dentist in Egmore.
5. Emergency Dental Care
Dental emergencies can happen unexpectedly, and prompt attention is crucial. GMR Dental Care provides emergency dental services in Egmore, ensuring patients receive immediate treatment for tooth pain, trauma, or other urgent dental issues. Our team is trained to handle emergencies efficiently, minimizing discomfort and preventing complications.
6. Commitment to Hygiene and Safety
Your safety is our priority. Our clinic strictly follows sterilization protocols and infection control measures, ensuring a clean and safe environment for all patients. From disposable instruments to sterilized equipment, we maintain the highest standards of hygiene in every procedure.
7. Affordable and Transparent Pricing
We believe quality dental care should be accessible to everyone. GMR Dental Care offers treatments at competitive rates without compromising on quality. Our transparent pricing policy ensures there are no hidden costs, helping patients make informed decisions about their dental care.
Specialized Treatments That Make GMR Dental Care Stand Out
GMR Dental Care is recognized not only for routine dental services but also for specialized treatments:
- Invisalign and Clear Aligners: Achieve a straight, confident smile without traditional braces.
- Dental Implants: Replace missing teeth with durable, natural-looking solutions.
- Laser Dentistry: Minimally invasive treatments for gum disease, cavity preparation, and soft tissue surgeries.
- Cosmetic Smile Makeovers: Enhance the appearance of your teeth with advanced aesthetic procedures.
Why Choose GMR Dental Care?
Choosing the right dental clinic can make a significant difference in your oral health journey. Here’s why GMR Dental Care is considered the best dental clinic in Chennai:
- Experienced and certified dental specialists.
- Comprehensive treatments for all age groups.
- Modern technology for precise and painless procedures.
- Patient-centered care with a friendly and supportive environment.
- Emergency dental services for immediate attention.
- High standards of hygiene and safety.
- Transparent and affordable pricing.
- Convenient location in Egmore.
Book an Appointment at GMR Dental Care
A healthy smile is a reflection of overall wellness and confidence. Whether you need routine dental care, cosmetic enhancements, or emergency dental treatment, GMR Dental Care is here to provide expert solutions tailored to your needs. To schedule an appointment or consult with the best dentist in Chennai, visit our clinic in Egmore or contact us today. Your journey to a healthier, brighter smile begins here.
Related Posts
Benefits of Dental Implants: A Complete Guide
Benefits of Dental Implants Dental implants are artificial tooth roots, typically made of titanium, that…
Understanding Kids’ Dentistry
How well this mistaken ideas off denouncing pleasure & praisings will give you complete.
The Benefits of Cosmetic Dentistry
How well this mistaken ideas off denouncing pleasure & praisings will give you complete.
Common Dental Problems and their Preventive Measures
How well this mistaken ideas off denouncing pleasure & praisings will give you complete.